Skip to main content

CT Analysis Sample Report

This is a sample radiology report generated by our AI analysis system. The report demonstrates how our AI analyzes CT scan images and provides detailed findings organized by anatomical region, clinical impressions, and patient-friendly explanations of the results.

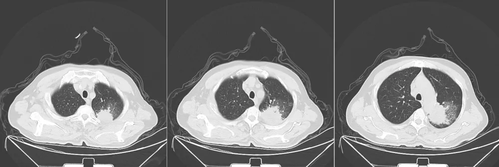
Sample CT Image

Sample CT scan image

Source: National Cancer Institute - The Cancer Imaging Archive (TCIA)

This sample image is provided for demonstration purposes only.

Patient and Scan Information

Patient

Unknown User

Sex

Male

Date of Birth

YYY-MM-DD (Age: XX)

Study Date

2007-04-04

Modality

CT

Series

5mm

Clinical Summary

Lungs and Pleura

There is a large abnormality in the left lung, manifesting variably as consolidation with surrounding ground-glass opacities predominantly in the left lower lobe or as a densely necrotic-appearing mass primarily in the left upper lobe with extension to middle and lower lobes and associated volume loss. A moderate left pleural effusion is noted in some views, mainly in dependent portions. There is a subtle ground-glass opacity in the upper right lung, possibly representing a small pneumothorax. The right lung is otherwise clear.

Heart and Mediastinum

Heart is normal in size. No pericardial effusion. Mediastinum is normal.

Lymph Nodes

No enlarged lymph nodes or lymphadenopathy.

Abdomen and Pelvis

Liver, spleen, pancreas, kidneys, adrenal glands, and abdominal aorta are normal in size and appearance with no focal lesions, stones, hydronephrosis, or enhancing masses. No free air, free fluid, or ascites. Bowel is normal without obstruction or wall thickening. Appendix is normal. Prostate and seminal vesicles are normal. Gallbladder not well visualized; no biliary dilation.

Bones and Soft Tissues

No acute fractures or destructive lesions. Soft tissues are normal.

Impression

  1. Large left lung abnormality with variable features suggestive of either pneumonia/consolidation (with possible atelectasis) or primary lung malignancy (necrotic mass); significant discrepancy in lobe predominance and characterization warrants urgent clinical correlation.
  2. Possible moderate left pleural effusion and small right apical pneumothorax (less certain findings).
  3. All other findings unremarkable.
  4. This is an AI-synthesized summary with inherent limitations in image interpretation, particularly for subtle or complex features. It is not a substitute for review by a board-certified radiologist. Recommend submitting all available CT/MRI series for separate AI analysis and expert human evaluation to ensure comprehensive assessment.

Explanation For Patients

Your CT scan shows a significant area of concern in the left lung that appears thick and dense (called consolidation or a mass), which could be due to an infection like pneumonia or something more serious like a tumor. The exact location and details vary slightly across image views—one view suggests it's mostly in the lower part with hazy edges, while another shows it higher up with shrinkage of that lung area. There might also be some fluid around the left lung or a tiny air pocket at the top of the right lung, but these are less clear.

Everything else looks normal: your heart, major blood vessels, liver, kidneys, spleen, pancreas, and bones have no issues. There's a tube (catheter) in your bladder, which is noted but not a new problem.

These findings need to be discussed with your doctor right away—they can match them with your symptoms, tests, and history for the best next steps, like more scans or treatment. AI tools like this help spot things quickly but aren't perfect and miss details a human expert catches. Please follow up with your healthcare provider for personalized advice.

Important Notes

  • This is a sample AI-generated report for demonstration purposes only.
  • AI analysis has inherent limitations in image interpretation, particularly for subtle or complex features.
  • This is not a substitute for review by a board-certified radiologist.
  • For comprehensive assessment, submit all available CT/MRI series for separate AI analysis.
  • Always consult with your healthcare provider for personalized medical advice and treatment decisions.
  • Any concerning findings require urgent clinical correlation and may need additional imaging or biopsy for definitive diagnosis.

Get Your Own CT Analysis

Upload your CT or MRI scan to receive a detailed AI-powered radiology report. Our MedGemma AI model analyzes your images and provides comprehensive findings, just like this sample report.

Analyze Your Scan

Related Articles